Zigoma İmplant Fiyatları

Estetik ve dayanıklı zirkonyum kaplama ile sağlıklı bir gülüşe kavuşun! Zirkonyum kaplama ile ilgili tüm detayları öğrenin ve hemen randevu alın.
Randevu Oluştur
googleimg trustimg whatclinicimg
4.7 3000+ incelemeye göre
Zigoma İmplant Fiyatları
arrow-up

Zigoma İmplant Fiyatları

1
3D X-Ray

3D X-Ray adımı doku ve kemiklerin durumunu tespit etmek için çok faydalıdır

2
Implant Yerleştirme

Dijital diş hekimliği sayesinde implant yerleştirme diş implantı başına 6 dakika sürer

3
Geçici Dişler

İmplantların yerleştirildiği gün ağza geçici dişler yerleştirilir

4
Final Sonuçları

Dişin doğal beyazlığının kaybolduğu durumlarda uygulanır.

Öncesi & Sonrası

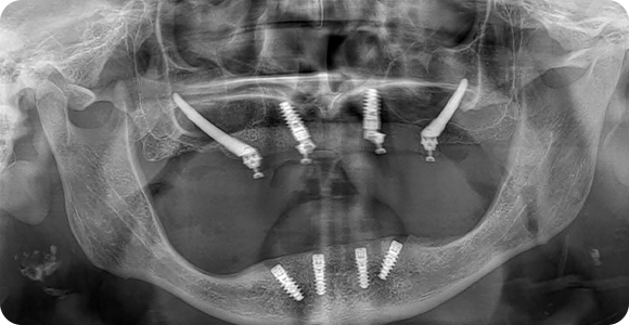
Zygoma (Zigoma) İmplant Nedir?


Diş implantları hastaların çeşitli nedenlerle dişlerini kaybetmeleri sonucu ihtiyaç duyulabilen, çene kemiği içerisine yerleştirilen doku uyumlu malzemelerdir. Zigoma implantlar ise sadece üst çene kemiğine yerleştirilir. Bazı kişilerde kemik problemlerine bağlı normal implantların yerleştirildiği üst çene kemiğinde hasarlar meydana gelebilir. Bu durumda üst çene kemiğinden daha güçlü olan elmacık kemikleriniz implant yerleştirmek için tercih edilebilir. Elmacık kemiğinize yerleştirilebilecek uzunlukta ve kalınlıkta olan implantlar ise zigoma implantlardır. “Zigoma implant nedir?” sorusunun daha detaylı cevabı için yazıyı takip edebilirsiniz.

Zigoma İmplant Hangi Durumlarda Tercih Edilir?

Elmacık kemiklerine yerleştirilen implantlar zigoma implantlar olarak adlandırılır. Elmacık kemikleri üst çene kemiklerinden daha dayanıklı bir yapıda olduğu için ihtiyaç halinde implantların yerleştirilmesine olanak tanır. Çene kemiklerine implant yerleştirilebilmesi için kemik dokusunun belirli ölçülerde kalınlık ve uzunluğa sahip olması gerekir. Çene kemiklerinde yaşla beraber erimeler görülürken elmacık kemikleri sağlam yapısını korumaya devam eder. Bu nedenle normal implantların yerleştirilmesi için elmacık kemiği implantlarından yardım alınabilir. Elmacık kemikleriniz eğer üst çene kemiklerinizden daha kaliteli ise diş sabitleme için elmacık kemikleriniz uygun görülebilir. Bu sayede kemik hacmini artırmak için uygulamalara başvurulmadan dişlerin üst çeneye yerleştirilmesi için zigoma implantlar tercih edilebilir. Zigoma implantlar üst çene kemiğinin hemen yukarısında bulunan ve elmacık kemikleri olarak tarif edilen kemik dokusunun içine yerleştirilir. Bu uygulama ile diş kronunun sabitlenebileceği bir ortam hazırlanmış olur.

Zigomatik İmplantlar Nelerdir?

Üst çene kemiği diş implantlarının uygulanabileceği kalitede olmadığında elmacık kemiklerine sabitlenen ekstra implantlar uygulanabilir. Zigoma implant elmacık kemiklerine yerleştirilen implantları ifade etmek için kullanılır. Elmacık kemiğine genel anestezi altında yapılan bir operasyon ile klasik implantlarda göre daha büyük boyutta ortalama 3-4 cm kadar uzunlukta değişiklik gösteren implantlar yerleştirilir. Geleneksel implantlara göre daha uzun olarak üretilirler. İmplantların ağız içerisinde kalan kısmı diş kronu yerleştirilmesi için uygun olarak tasarlanmıştır. Bu nedenle elmacık kemiklerine yerleştirilen zigoma implantlar güvenilir yöntemlerdir.

treatment-content-image-1
treatment-content-image-2

Zigomatik İmplantlar Hangi Tip Hastalara Uygulanır?

Zigomatik implant tedavisi kullanılabilir durumda olmayan üst çene kemiğine sahip kişilerin implant tedavisinden yararlanabilmesi için geliştirilmiştir. Üst çene kemiğinde bozulmalar meydana gelmesiyle diş kayıpları yaşanabilir ve diş implantlarına ihtiyaç oluşabilir. Fakat kemikte meydana gelen bozulmalar diş implantlarının yerleştirilmesine olanak tanımayabilir. Bu nedenle bu tarz durumlarda implant yerleştirilmesi sırasında ya da öncesinde kemik arttırma yöntemleri kullanılır. Kemik hacmini artırmak için greftleme ya da sinüs bölgesinde bulunan boşlukların doldurularak implanta alan oluşturulabildiği sinüs kaldırma işlemine ihtiyaç varsa bunları yapmak yerine zigomatik implantlar da kullanılabilir. Bu implantlar yardımıyla üst dişlerin tamamı için sabit protez yapılabilir. Fakat öncelikle kişinin zigoma implantına uygunluğu yapılan tıbbi görüntülemeler ile incelenir.

Zigomatik İmplant Normal Diş İmplantı İle Birleştirilebilir Mi?

Zigomatik implant ve normal diş implantının birleştirilmesini içeren farklı klinik seçenekler mevcuttur. Normal diş implantları yardımıyla ağız içine yerleştirilen sabit protezler kişinin dişleri ile benzer görünüme sahip materyallerdir ve diş ile benzer görevi görür. Normal implant yerleşimi için kişi yetersiz kemiğe sahip olduğunda zigoma implantlara başvurulabilir. Bu iki implant çeşidi birlikte kullanıldığında da fayda sağlayan ve amacına ulaşan diş hekimliği uygulamalarıdır.

Ballıpınar Diş Kliniği alanında uzman hekim kadrosu ile normal implant ve zigomatik implant uygulamalarının başarılı şekilde gerçekleştirildiği bir kliniktir. Klinik bünyesinde bulunan laboratuvar ve uzman bir kadro ile doğru teşhis ve tedavi için iletişime geçebilirsiniz.

Fiyatlar
Web sitemizde, ihtiyaçlarınıza uyacak şekilde değişen fiyatlarda bir dizi hizmet sunuyoruz. Güncel fiyat seçenekleri hakkında detaylı bilgi almak için aşağıdaki formu doldurmanızı rica ederiz. Lütfen fiyatların, ihtiyaç duyduğunuz belirli hizmetlere bağlı olarak değişebileceğini unutmayın. Ekibimiz size şeffaf fiyatlandırma sağlamaya ve bütçeniz için en iyi çözümü bulmanıza yardımcı olmaya kendini adamıştır. Hizmetlerimizi düşündüğünüz için teşekkür ederiz ve sizden haber almak için sabırsızlanıyoruz!
Teşekkürler! Gönderiminiz alındı!
Hata! Formu gönderirken bir şeyler ters gitti.
Öncesi & Sonrası

Zigoma İmplant Hakkında Sıkça Sorulan Sorular

1

Zigoma İmplantlar Ne Kadar Süre Dayanır?

2

Zigoma İmplantların Dezavantajları Nelerdir?

3

Zigoma İmplant Nedir?

4

Zigoma implantlar Türkiye’de ne kadar?

Çevrimiçi Randevu

Formu doldurun, sizinle iletişime geçelim

Teşekkürler! Gönderiminiz alındı!
Hata! Formu gönderirken bir şeyler ters gitti.