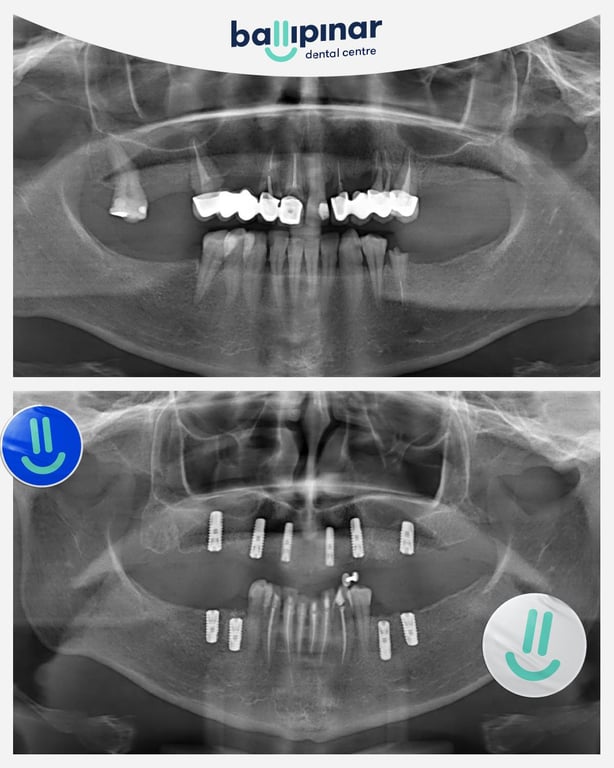
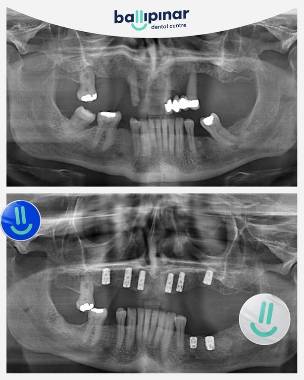
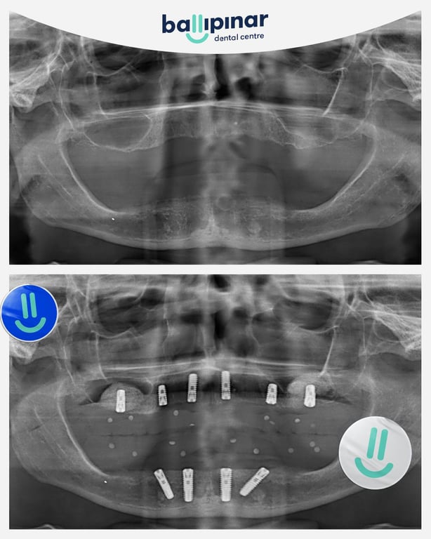
Dental implants Before & After
Explore all the before and after photos of dental implant procedures performed by Ballipinar in Turkey. Contact us today to achieve a beautiful smile.
            
            Online Appointment
        
 Fill in the form and we will contact you

Turkish
عربى
Русский
Dutch